前牙美學修復(fù)標準包括了:前牙形態(tài)/微笑曲線/咬合覆蓋關(guān)系
總說前牙美學修復(fù),那你知道前牙美學修復(fù)的標準是什么嗎?因為前牙擔當著門面的作用,所以對于前牙修復(fù)一般醫(yī)生都會比較注重美觀功能。
舌簧頜墊矯正器和mrc的區(qū)別,4歲寶寶地包天如何選擇
4歲寶寶矯正地包天,想給寶寶矯正,在網(wǎng)上了解了頜墊舌簧和MRC,但是在口腔診所建議頜墊舌簧矯治,說孩子牙齒反頜,不適合做兒童MRC矯正器...;哪位有經(jīng)驗,給說說!
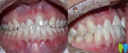
廈門亞歐齒科姚森分享前牙反合/后牙鎖合的牙齒矯正案例
廈門亞歐齒科姚森院長在牙齒正畸方面有著獨到的見解,下面,廈門亞歐齒科姚森院長就給大家分享一例前牙反合,后牙鎖合的牙齒矯正案例,給有同樣問題的牙友們做為治療參考。
說下我去南寧柏樂口腔醫(yī)院做隱形牙齒矯正的感受及心得
本人今年28歲,屬于牙性的門牙反頜,想著過了牙齒矯正的年齡了,就不打算折騰了。在朋友的介紹下,我去南寧柏樂口腔醫(yī)院做了隱形牙齒矯正后,終于解決了門牙反頜的問題。
