簡介:
深圳博愛口腔,地址位于深圳市羅湖區(qū)紅嶺中路2056號。環(huán)境優(yōu)雅,交通便利。博愛口腔依托實力雄厚的口腔醫(yī)療團隊、優(yōu)質前沿的診療設備和主流的齒科技術,為廣大市民提供健康的口腔服務。博愛口腔在深圳口腔排名榜上名列前茅,曾榮獲“深圳口腔老字號”榮譽稱號。
博愛口腔采用現代化經營模式,以滿足患者多元化多層次的服務要求為宗旨,聚集了二十多位臨床經驗豐富、技術精湛嫻熟的專業(yè)口腔醫(yī)師。將醫(yī)學經驗和醫(yī)學治療融為一體,全力創(chuàng)建良好的診療信譽。

博愛口腔,秉承“以人為本,以顧客為中心”的醫(yī)療宗旨,全心全意為深圳市民提供:種植牙齒、牙齒矯正、牙齒修復、牙齒美白、牙周治療、兒童齒科等多項服務。
醫(yī)生團隊介紹:
博愛口腔的醫(yī)生團隊由:鐘春根主任、劉佺正畸醫(yī)生、為每位顧客量身定制合適的診療方案,讓每一位來的客人都能重新擁有健康的牙齒,綻放燦爛的笑容!

開設的特色項目:
4D數字化即刻種植術、天使隱形矯正、韓式正頜外科手術、隱適美全隱形矯正、格萊美二氧化皓全瓷牙、TM卓越皓瓷牙、奧美科金屬自鎖正畸、美國皓齒美白牙等。
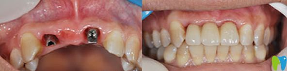
種植牙真人案例:大家覺得深圳博愛口腔怎么樣?種牙效果好不好?
優(yōu)質的口腔診療設備:
博愛口腔斥資引進:3D全景CT機、數字化口腔全景機、STA機、內窺鏡根管擴大機等國內外高端設備,為來我院的顧客提供更加精準優(yōu)質的醫(yī)療服務。深圳博愛擁有標準的服務體系,完整的術后跟蹤服務,讓顧客在這里就診更有質量保障,也是博愛一種更高的追求!
深圳博愛口腔2018年暑期價目表:
半隱形矯正12800元起;
全隱形矯正21800元起;
進口全瓷牙2200元/顆起;
進口種植牙6800元/顆起;
傳統(tǒng)牙齒正畸低至6800元起;
美國雙重皓齒美白2100元起。
深圳博愛口腔聯系方式
地址:
地址:深圳市羅湖區(qū)紅嶺中路2056號。




