寧波牙博士口腔醫(yī)院

共有 6 名牙醫(yī) 15 個牙科項目 5 例手術分享

寧波牙博士口腔金勇和

編輯:素情 更新時間:2018-06-06 10:36:45 來源:寧波牙博士口腔 閱讀:

金勇和,牙科博士,寧波牙博士口腔正畸中心技術總監(jiān)。從事口腔臨床工作近20年,多次在國內外口腔進修學習,擅長于即刻種植牙技術及復雜疑難牙缺損的種植牙修復。

【寧波牙博士口腔】——金勇和醫(yī)生簡介:

【職稱】:牙科博士、醫(yī)生。

【所屬機構】:寧波牙博士口腔。

【擅長項目】:無痛種植、即刻種植、全口種植、半口種植、牙齒矯正、復雜疑難牙缺損的種植牙修復等。

寧波牙博士口腔金勇和醫(yī)生

金勇和,從事口腔臨床工作近二十年,現任寧波牙博士口腔正畸中心技術總監(jiān)。曾多次在國內外口腔進修學習,有著豐富的臨床經驗和扎實的理論知識,至今已成功完成各項牙齒正畸2萬余例,完成種植牙病歷近萬余例。

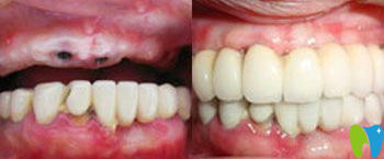
寧波牙博士口腔金勇和醫(yī)生種植牙效果對比圖:

寧波牙博士口腔金勇和醫(yī)生種植牙效果對比圖

金勇和博士2002年赴美,先后在美國 Loma Linda 種植研究機構、南加州、美國 Orthodontic 齒科機構等美國和機構進行研修,還擔任USC口腔副一職,同時獲得南加州博士學位。他在美國的十多年中不斷的努力研究,吸收了化口腔新技術,回國后于韓國口腔醫(yī)學相結合,研究并推行出適合東方人的獨有種植牙技術,成為上的牙醫(yī)之一。

部分榮譽:

美國種植學會會員

Misch 種植研究機構研修

韓國口腔頜面種植學會會員

韓國首爾口腔科博士

美國 Orthodontic 齒科機構研修

美國 Loma Linda 種植研究機構研修

首爾口腔種植牙研究會會員

相關推薦

寧波牙博士口腔聯系方式

地址:
總院地址:浙江省寧波市鄞州區(qū)首南街道民惠東路188號西裙房
二院地址:浙江省寧波市鄞州區(qū)中興路692號(寧波開元大酒店西側)
三院地址:浙江省寧波市海曙區(qū)中山西路1252號陽光一品

本院推薦醫(yī)生

寧波牙博士口腔醫(yī)院武文東

武文東

擅長:牙齒矯正
寧波牙博士口腔醫(yī)院劉清陽

劉清陽

擅長:根管治療,拔牙,烤瓷牙
寧波牙博士口腔醫(yī)院孔華鋒

孔華鋒

擅長:種植牙,拔牙,牙齒矯正
寧波牙博士口腔醫(yī)院王道軍

王道軍

擅長:種植牙,牙齒矯正
寧波牙博士口腔醫(yī)院金勇和

金勇和

擅長:種植牙,牙齒矯正

醫(yī)院新聞

本院手術網友分享

聯系我們   用戶協議   網站介紹   網站地圖   移動版 粵ICP備19104784號-2

熱點關注: A B C D E F G H I J K L M N O P Q R S T U V W X Y Z

Copyright©2008-2025 開立特口腔http://m.gh0097.com 本站內容來自于互聯網網友分享,不作為診斷依據。如有侵權請 投訴反饋處理,將在三個工作日刪除。

口腔醫(yī)院排名依據用戶訪問量、口碑評價、用戶提問等數據綜合得出,不代表醫(yī)院技術與醫(yī)療效果,請至醫(yī)院實地考察