牙齒突出帶給我的影響很大,像是那種齙牙的樣子,因為這個原因,害我不能愉快的聊天,通過在新鄉(xiāng)拜博口腔做牙齒矯正后,終于可以放飛本性了。本來大大咧咧的性格,硬是為了遮掩這口小齙牙,而不得不盡量少說、少笑,那種別扭的狀態(tài)終于隨著下牙套的那天結束了。要說我為啥選擇拜博口腔,還不是因為做活動時拜博口腔的牙齒正畸價格優(yōu)惠,而且還是新鄉(xiāng)碑較好的牙科。

這就是我做矯正前的小齙牙齒,感覺牙齒想突破嘴巴飛出去.......聽說是小時候因為張口呼吸造成的,不知道這話可信不,反正現在說什么是晚了。牙齒矯正才是改變我這小齙牙的唯1出路了。

看了醫(yī)生給我拍的這個牙齒側面照,覺得好搞笑,哈哈哈,我的牙比我的性格還個性,但是嚴 重影響了我的美好形象。想整牙其實也不是1天、兩天的想法了,但是不知道該選哪家醫(yī)院才能拯救我的齙牙。了解拜博口腔,還是陪表姐一起來洗牙開始,她是這里的常客了,很認可這里,所以特意拉上我來。
前臺接待之后,有醫(yī)生帶我拍了片子,然后面診了李川醫(yī)生,他看了片子,看了我的牙,分析了我的情況,給我進行了正畸方案設計。在牙套選擇上,卻給我出了選擇題,神馬普通金屬托槽、自鎖托槽、陶瓷托槽的,為了效果還為了價格能符合預算,我選了金屬自鎖托槽來矯治。

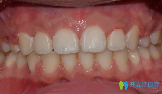
(中間過程省略一萬字哈),直接給大家看我矯治好的牙齒樣子,不過還沒有結束呢,正在戴透明保持器階段。因為是拔牙矯正,所以用時比較長一些,主要是后期收牙縫時間太長了。

這牙齒不外突后,嘴巴也就不突了,還好我只是牙性齙牙,通過兩年時間的矯正,就有了蠻大的改善,也算是不幸中的萬幸了吧。通過這兩年來的復診接觸,覺得新鄉(xiāng)拜博口腔真是的一家挺負責的門診,醫(yī)生護士人都挺好的,總體正畸體驗不錯,以后身邊有人想做正畸的話,我肯定會推薦拜博的。








